Accueil
Curriculum Vitae
Événements
Pathologies
Publications
Cas cliniques
Press
Contact
Accueil
Curriculum Vitae
Événements
Pathologies
Publications
Cas cliniques
Press
Contact
Accueil
Entrées de portfolio
PTG 1ère intention sur genu varum
PTG 1ère intention sur genu varum
PTG 1ère intention sur genu varum
Cliquer sur une photo pour défiler la collection
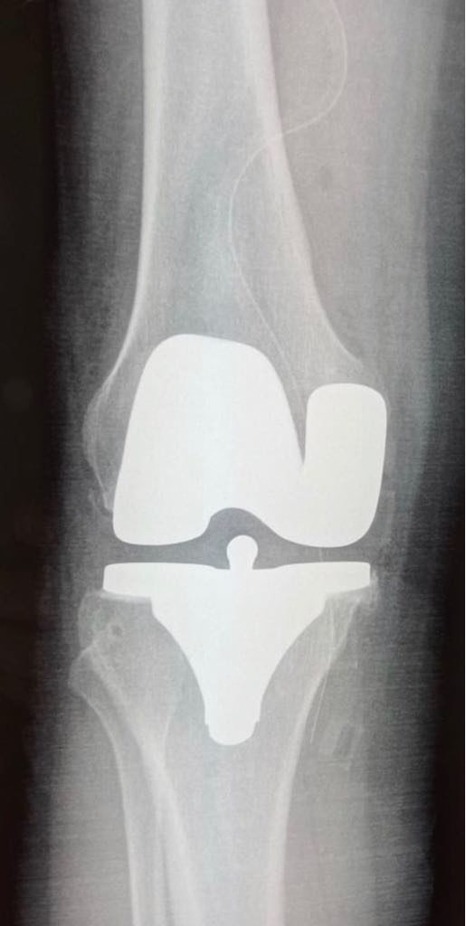
2- PTG postero-stabilisee cimentée
2- PTG postero-stabilisee cimentée
1- Gonarthrose sur Genu Varum
1- Gonarthrose sur Genu Varum